Prostate cancer: Sir Cliff Richard discusses diagnosis as health official explains missed symptoms
Sir Cliff Richard has revealed he was diagnosed with prostate cancer following a routine health check before a planned concert tour, and has been undergoing treatment for the past 12 months.
The 85-year-old music legend, famous for hits like The Young Ones, We Don't Talk Anymore, and Summer Holiday, shared his health journey during an appearance on ITV's Good Morning Britain.
The singer discovered his diagnosis after an insurance medical ahead of performances in Australia and New Zealand.
Speaking about his current condition, Richard said his cancer has "gone at the moment" but acknowledged uncertainty about the future.

"I don't know whether it's going to come back. We can't tell those sorts of things, but we need to, absolutely, I'm convinced, get there, get tested, get checked," he urged.
The star is now backing calls for a national prostate screening programme for men.
Following Richard's revelation, Amy Rylance, assistant director of health improvement at Prostate Cancer UK, shed light on how the disease develops and who's most at risk.
"Prostate cancer is caused when the cells within the prostate mutate to a point where they're not growing normally, and they start to grow much more quickly," explained Rylance.
She noted that these cellular mutations become more frequent as we get older, which is why cancer risk increases with age across many different types of cancer.
When it comes to prostate cancer specifically, there's a clear pattern in diagnoses.
"What we can see very clearly is there's a steep upward trend up to the age of 74, and then it starts to drop down," says Rylance.
The decline after 74 is largely down to competing health conditions and life expectancy factors.
LATEST DEVELOPMENTS
- Two subtle midlife signs could signal a 50% higher risk of dementia decades later, scientists warn
- 'I'm 79 and work out 11 times a week - I've followed the same routine for decades'
- Scientists uncover clues to 'staying younger for longer' in dark chocolate - key findings
So who faces a higher chance of developing prostate cancer? Rylance points to several key groups.
"The general population's risk goes up from the age of 50, but if you are one of the men at higher risk of prostate cancer, either because you are a black man, or because you have close relatives who've had prostate cancer, or because you have the BRCA gene variant in your family, the risk starts younger," she explained.
For those wanting to understand their personal risk, Prostate Cancer UK offers an online risk checker tool that considers your age, ethnicity and family history to provide tailored information.
It's worth noting that prostate cancer before 40 is extremely rare, with only around 10 cases diagnosed annually across the entire country in that age bracket.
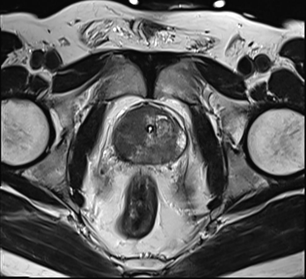
When it comes to detecting prostate cancer, the PSA blood test is the gold standard.
"The best test for prostate cancer is the PSA blood test," said Rylance. "It's testing for a protein that's produced by the prostate, and if it shows that your levels are raised, you would be sent for more tests."
If results raise concerns, patients may be referred for an MRI scan to get detailed images of the prostate, followed by a biopsy if anything suspicious appears.
Rylance recommends men start testing from age 50, though those with higher risk factors should begin in their mid-40s.
"If you're a black man, have a family history of the disease, and if your first PSA result is above one, those things suggest that your risk might be a little bit higher, so a test every 12 months would be a good idea," advised Rylance.
But for average-risk men, testing every two to three years is sufficient.
What are the symptoms?
Prostate cancer is often called a "silent disease" since early-stage cases typically produce no symptoms at all.
"Symptoms that people often associate with prostate cancer are problems peeing, such as stop-start peeing, urgency, needing to go a lot at night, etc," said Rylance, though she noted these are incredibly common in older men regardless.
Blood in urine or semen should always be checked by a GP. More advanced cases can cause hip or lower back pain as the cancer tends to spread to the bones.

How is prostate cancer treated?
Treatment options vary widely depending on how aggressive the cancer is.
Slow-growing cancers may simply be monitored through active surveillance, while localised cancers can be treated with focal therapy targeting just the affected area.
More extensive cases may require surgery, radiotherapy, chemotherapy or hormone therapy.
Our Standards: The GB News Editorial Charter
What's Your Reaction?
Like
0
Dislike
0
Love
0
Funny
0
Angry
0
Sad
0
Wow
0
